名古屋市緑区の痛くない歯科治療をめざす歯医者さん

〒458-0901 名古屋市緑区有松町大字有松三丁山331-1
名鉄線有松駅より南に徒歩10分 大型駐車場あり

診療時間

9:00~17:30
休診日
日曜・祝日

診療時間は17:30までとなります。
その他web情報サイトに誤った診療時間が
掲載されている場合がございます。
必ず公式HPをご確認ください。

ご予約・お問合せはこちらへ

052-693-8382

矯正歯科・矯正治療

矯正歯科とは〜矯正治療ってなに?〜

矯正歯科とは、出っ歯や乱ぐい歯(ガタガタの歯並び)、すきっ歯、受け口といった悪い歯並びを治す治療のこと。この悪い歯並びや噛み合わせのことを「不正咬合」といいます。

「不正咬合」をそのまま放っておくと、

  • 顔貌が良くないためコンプレックスに
  • 食べ物がうまく噛めない
  • 虫歯や歯周病、口臭のリスクが高まる

といった問題が起こることも。

よくある悪い歯並び(不正咬合)

出っ歯
(上顎前突)
乱ぐい歯・ガタガタの歯並び
(叢生)
すきっ歯
(空隙歯列)
前歯が噛み合わない
(開咬)
前歯がかぶさりすぎ
(過蓋咬合)
噛み合わせの捻じれ
(交叉咬合)

透明なマウスピースをお口にはめて矯正治療をします

当院では、

  • 「ちょっとだけ出ている前歯を治したい」
  • 「前歯の歯並びが良くなればいいのに・・」
  • 「前歯のすきっ歯をなんとかしたい」

などの、よくあるお悩みや「不正咬合」を改善するために「クリアコレクト」というマウスピース矯正を行っております。前歯の歯並びや噛み合わせかみ合わせが気になる方におすすめの矯正治療です。

歯並び無料相談はこちらへ

矯正治療の種類

ひとことで「矯正治療」といっても、実はさまざまな種類があり、主に以下の3種類となります。

  • 1
    部分矯正
  • 2
    歯周矯正
  • 3
    全体矯正

それぞれについてご説明しましょう。

部分矯正とは

矯正用の透明なマウスピース

「部分矯正」とは、その名のとおりお口の中の一部分だけの歯並びを整える、部分的な矯正治療です。

「前歯が少し出ている」「歯と歯の間に隙間がある」など、気になる部分だけを矯正します。代表的なのが「前歯の部分矯正」ですね。

一番のメリットは、お口全体を矯正する「全体矯正」に比べて治療費が安いこと。歯を動かす範囲が少ないので治療期間も短く済みます。

当院では、最新のマウスピース矯正(クリアコレクト)を使った部分矯正をご提供しています。透明なマウスピースをお口にはめて歯並びを整えるこの治療には、

  • 目立たない
  • 治療中の痛みが少ない
  • 取り外しできる

といった多くのメリットが。なるべくリーズナブルに短期間で、気軽に矯正治療を受けたい方におすすめです。

見た目のためじゃない部分矯正も

「部分矯正」は、口元の見た目を改善する目的以外にも行われます。たとえば、

  • 歯を引っ張って、埋もれている状態から救出する矯正治療(挺出)
  • 倒れてしまった歯をおこす矯正治療(アップライト)

があります。

こうした「部分矯正」によって、本来なら抜かないといけない歯も助けることが可能です。

歯を引っ張って、埋もれている
状態から救出する矯正治療(挺出)

倒れてしまった歯をおこす矯正治療(アップライト)

歯周矯正とは

「歯周矯正」とは、歯周病治療のために行う矯正治療のこと。歯周病になると、歯を支えている骨が減ってしまい、歯が簡単に動くようになります。その結果、もともとは歯並びが悪くなかった人でも、舌や頬の筋肉の力が歯に加わることで歯並びが悪くなってしまうことがあるのです。

また、歯を支えている骨が少ないということは、それだけ噛み合わせも丁寧に整えないと、噛む力に耐えられなくなります。噛む力をしっかりと受け止められる位置に歯がないと、噛む力に負けて歯がどんどん悪くなってしまうことも・・・。

歯周病で歯を支える骨が減った患者さんこそ、矯正治療が必要となることがあります。これが「歯周矯正」です。見た目のためではなく、歯を守るための矯正になります。

歯周病専門医/指導医が在籍する当院は、この「歯周矯正」を得意としております。

治療前

治療後

女性60代

当院に歯周病治療で通っていた方です。前歯のプラークコントロール(歯磨き)をしやすくし、歯周病のリスクを下げるために、インビザラインGoにてマウスピース矯正行いました。

治療の期間:10か月

治療の価格:410,000円(税込 451,000円)、リテーナー50,000円(税込 55,000円)

治療のリスクや副作用矯正治療中に歯磨き等のセルフケアを怠ると虫歯や歯周病のリスクが高くなります。矯正治療が完了した後は後戻りを防ぐために保定装置を装着します。保定装置を正しく使用しないと再度矯正治療が必要になる可能性があります。まれに歯の根が短くなる可能性があります。装置装着後、痛みを感じることがあります(歯が動く正常な反応なので心配ありません)。頬の粘膜・唇・舌などに、口内炎ができることがあります。歯周病等で歯ぐきが下がっている方は、歯を動かすことでさらに歯ぐきが下がる可能性があります。重なっていた歯がきれいに並んだことで歯ぐきと両隣の歯との間に三角形の隙間ができる可能性があります。

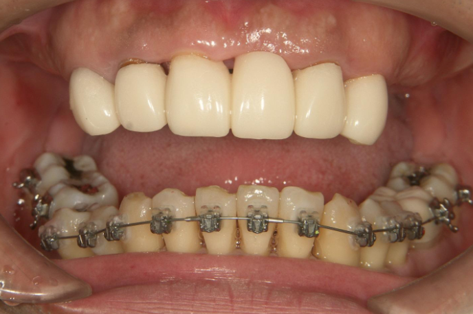
治療前

矯正治療中

治療後

男性30代

こちらの患者さんは全体的に歯周病で歯を支える骨が減ってしまい、特に上の前歯が悪くなって下の前歯が伸びてしまっていました(下の前歯が伸びてしまったため、下の前歯が上下に波打っているように見えます)。このまま上の前歯を治したとしても、伸びてしまった下の前歯がネックとなります。
そこで矯正治療で下の前歯をもとの位置に戻し、噛む力を全体的に分配できるようにしました(波打っていた下の前歯が治っています)。同時に上の前歯の治療も行いました。

治療の期間:約1年3か月

治療の価格:410,000円(税込 451,000円)

治療のリスクや副作用矯正治療中に歯磨き等のセルフケアを怠ると虫歯や歯周病のリスクが高くなります。矯正治療が完了した後は後戻りを防ぐために保定装置を装着します。保定装置を正しく使用しないと再度矯正治療が必要になる可能性があります。まれに歯の根が短くなる可能性があります。装置装着後、痛みを感じることがあります(歯が動く正常な反応なので心配ありません)。頬の粘膜・唇・舌などに、口内炎ができることがあります。歯周病等で歯ぐきが下がっている方は、歯を動かすことでさらに歯ぐきが下がる可能性があります。重なっていた歯がきれいに並んだことで歯ぐきと両隣の歯との間に三角形の隙間ができる可能性があります。

全体矯正とは

「全体矯正」は、前歯から奥歯まで、お口全体の歯並びや噛み合わせを整える矯正治療。多くの方がイメージする、こちらの写真のような矯正治療です。

治療前

矯正治療中

治療後

女性20代

こちらの患者さんは、院長の小塚が勤務医時代に矯正の専門医の方と相談しながら治療した方です。歯並びを綺麗にしたいというご希望で、ワイヤー矯正を行いました。まず上の歯にワイヤーをつけて、上の歯がある程度綺麗になってきた後に、下の歯にワイヤーをつけて動かしています。

治療の期間:約1年9か月

治療の価格:950,000円+治療当時の税率の消費税

治療のリスクや副作用矯正治療中に歯磨き等のセルフケアを怠ると虫歯や歯周病のリスクが高くなります。矯正治療が完了した後は後戻りを防ぐために保定装置を装着します。保定装置を正しく使用しないと再度矯正治療が必要になる可能性があります。まれに歯の根が短くなる可能性があります。装置装着後、痛みを感じることがあります(歯が動く正常な反応なので心配ありません)。頬の粘膜・唇・舌などに、口内炎ができることがあります。歯周病等で歯ぐきが下がっている方は、歯を動かすことでさらに歯ぐきが下がる可能性があります。重なっていた歯がきれいに並んだことで歯ぐきと両隣の歯との間に三角形の隙間ができる可能性があります。

歯並びだけを治しても、お口周りの筋肉がバランスを取れずトラブルになるリスクも

しかし当院では、このような「全体矯正」は行っていません。なぜなら、「全体矯正」の問題点をよく理解しているから。その理由を今からご説明しますね。

矯正治療によって、歯並びが悪い患者さんをきれいな歯並びに変えることは可能です。矯正治療をある程度学んだ歯科医師であれば、誰でも治療できます。しかし、きれいに歯が並んだだとしても、体がその歯並びに順応するかというと、それはまた別問題。

歯並びの悪さには、顎の大きさ、歯の大きさ、舌や頬の筋肉のバランスなど、様々なことが関係しています。顎が小さくて歯が並ぶスペースが足りずに歯並びが悪くなった人は、一部の歯を抜いてスペースを確保し、歯を並べます。確かにきれいに並べることはできるのですが、歯が並んだ位置でまわりの筋肉がバランスをとれるかどうかはわかりません。

たとえ見た目がきれいでも、顎の調子が悪くなったり、発音が変わったり、飲み込みにくかったり、呼吸がしにくかったり、姿勢が悪くなったり・・・。実は矯正治療後のトラブルも少なくありません。矯正治療にはこのようなリスクもあることを十分に理解する必要があるのです。

そのため当院では「全体矯正」は行わず、見た目だけを治す矯正治療に関しては、こちらでご紹介したリスクをお分かりいただいたうえで、矯正専門医をご紹介しています。

歯並び無料相談はこちらへ

矯正歯科・矯正治療の料金

当院で矯正治療を行う場合の費用をご案内します。

歯並びのシミュレーション 2,000円(税込 2,200円)
マウスピース矯正(クリアコレクト) 410,000円(税込 451,000円)
保定装置(リテーナー) 50,000円(税込 55,000円)

月々6,300円〜 矯正治療ができます

治療費の分割払いが可能です

治療費のお支払いは、

  • 現金
  • デンタルローン
  • クレジットカード

の方法が可能です。

「矯正治療は高いから…」と諦める必要はありません。デンタルローンなら、月々6,300円〜という少ない負担額できれいな歯並びを手に入れられます。

月々の支払い目安

治療費の総額
マウスピース矯正(インビザライン iGO) 440,000円(税込)
 条  件 
金利手数料5.8%。ボーナス払いなし(金利は個人によって異なります)
  初回支払い 2回目以降の支払い 支払総額
12回 38,148円 37,800円 453,948円
36回 14,936円 13,300円 480,436円
48回 14,676円 10,200円 494,076円
60回 12,336円 8,400円 507,936円
84回 13,504円 6,300円 536,404円
歯並び無料相談はこちらへ

矯正治療の流れ

ご相談

歯並びや噛み合わせについて、気になることを何でもご相談ください。矯正治療について大まかな説明をいたします。

精密検査

レントゲン撮影、歯型の採取、噛み合わせの確認など、診断のための検査を行います。

治療計画の説明

検査結果をご説明し、治療計画をご案内します。

治療・通院

治療計画にご納得いただけましたら、治療を開始します。

治療後の観察

歯並びが整ったら、保定装置( リテーナー) をつけていただきながら、経過観察を行います。

歯並び無料相談はこちらへ

Dr.小塚

この記事の著者

医療法人 つゆくさ歯科医院
院長 小塚義夫